12月になると
みなさん、こんにちは院長の江俣です。
2週間禁酒してました。
禁酒の理由はさておき(べつに、お酒の失敗などではありませんが 笑)、今年も残りわずかです。
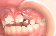
12月になると当院では歯の怪我の患者さんが多いです。昨日は8歳のお子さんが、友達と遊んでる最中にぶつかってしまい、救急で来院しました。
![]() |
大人の歯が萌出途中なのに脱臼をおこしてました。 |
![]() |
脱臼は固定しすぐに神経をとらない、出来るだけ被せないがポイントです。 |
子供の歯のケガはむし歯以上に重大です。外傷を受けた歯の治療が適切でないと将来は、悲惨な場合が多いのです。
師匠の月星先生がおっしゃった「歯のけがは、心の傷です」という言葉が心にしみたのを今でも覚えています。

