ポーセレンラミネートベニア
みなさん、こんにちは院長の江俣です。
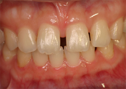
すきっ歯のことで悩んでの問い合わせの方が最近多いです。
最も多いのが、上の前歯の中心に2ミリ程度の隙間がある「正中離開」というケースです。矯正せずにすきっ歯を治す方法はラミネートベニア法がお勧めです。この方法は歯の表面約0.5ミリ削り、そこにセラミックのシェルを接着することで、歯の隙間や色を改善します。2回の通院で痛みなく、自然な感じに仕上がりますので審美歯科領域において主流となっています。
では昨日終わったポーセレンラミネートベニアの治療をご紹介します。
25歳 女性 治療期間:1ヶ月 治療内容:ポーセレンラミネートベニ
治療前
![]() |
ほとんどエナメル質を残して形成ができています。
![]() |
ポーセレンラミネートベニヤ
![]() |
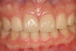
治療後
![]() |



