before implant (インプラント治療を考える前に)
みなさん、こんにちは院長の江俣です。
今朝は、寒いぞと思ったら、氷点下だったんですね。寒い日が続きますので体調には気をつけてください。
では今年はじめての、歯科のお話です。
近年、インプラント治療が高まってきた反面、歯を保存することへのこだわりが薄れてきているように感じます。保存が困難な歯が存在した場合、適切な移植歯があれば、歯牙移植は、より保存的で生物学的(体にやさしい)な治療法として非常に有効な手段です。
私の持論としては移植できる歯(一般的に親知らず)があり適応症ならば、歯牙移植を第一選択と考えます。
昨日は、歯の移植をした患者さんが来院し、移植した歯に仮歯がはいりました。
患者さんは去年の11月に当院に来院しました。1週間前に歯がわれて近くのかかりつけの歯科医院で抜歯したそうです。抜歯した後は
① インプラント治療
② 何もしないでそのまま抜きっぱなし
以外ないとうことでした。
親知らずがあるので、移植はできないのか相談にきました。
![]() |
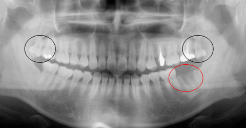
| 初診時のレントゲン像 黒丸は不必要な親知らずです。赤丸は1週間前に抜歯した部位です。 |
![]() |
| 親知らずのCT画像 CT検査をすると、根の形態が3次元でわかるので、移植の成功率は格段に向上します。 |
![]() |
| 抜歯した移植歯の親知らず 根の形態もよく、歯根膜も十分あり適応症です。 |
![]() |
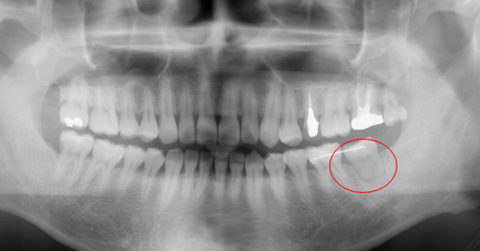
| 移植直後(赤丸)のレントゲン像 |
![]() |
| 約2ヶ月経過後現在 仮歯をいれて咬み合わせに調整をしています。 |
歯の再生治療はまだ先の話のようですが、歯牙移植には多くの利点がありますので、インプラントの前に親知らずの移植を検討してはいかがでしょうか?
是非ご相談ください!




