前歯審美修復治療
みなさん、こんにちは院長の江俣です。
昨日義理の兄がタイ旅行から帰ってきて、お土産をいただきました。気温差が20℃以上あり、余りにも急激な環境の変化に身体もびっくりしているようです。
今回の歯科のお話はお問い合わせの多い内容の前歯の治療です。審美的に重要となる前歯の修復にあたっては、光を透過することで、歯はより美しさを表現します。しかし金属で裏打ちすると、内部の金属色が透過してしまい歯が灰色がかり・歯茎付近に金属色が出てきてしまいます。現在材料の進歩と共に金属に変わる強固な材料が開発され、全て白い材料にて修復物を作成できるようになりました。よって光の透過が歯に近づき、天然歯に迫る色調再現が可能となり、とても自然で美しい仕上がりが期待できるようになっています。そして、金属を使用せずに済みますので金属アレルギ-などの心配もありません。
![]() ![]() |
| では最近の審美修復治療例をご紹介します。 |
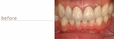
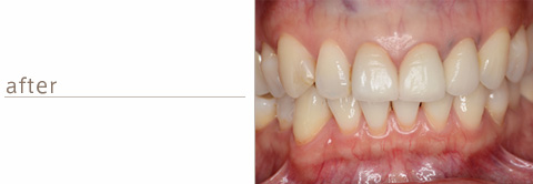
40歳代 女性
『以前治療した前歯3本の差し歯を自然な感じに治療し直したい。』
治療期間:2ヶ月
治療部位:上顎前歯部3本
治療方法:ジルコニアオールセラミッククラウン ホワイトニング
![]() |
![]() |
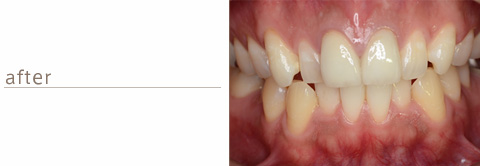
30歳代 男性
『前歯が変色してきになります。。笑った時に明るくなるような口元にしたいです。』
治療材料:ジルコニアセラミッククラウン ホワイトニング
治療期間:2ヶ月
![]() |
![]() |





