歯のけがは緊急
みなさん、こんにちは院長の江俣です。
先週、救急で歯冠の破折の患者さんがいらしました。当日の朝転倒し、前歯2本が大きく折れてしまったそうです。
すぐ他の歯医者さんに行ったそうですが、予約の患者さんがいっぱいですぐ診察してもらえない、神経をとって被せないといけないといわれ、当院は3軒目だそうです。当院も予約の患者さんが多く時間がとれません。
外傷の患者さんで一番困るのは、診療時間の確保です。予約の患者さんは何日も前から時間をとっていただいてます。外傷の治療はできるだけ早い処置をしないといけません。
しかしスタッフの協力のもと、予約の患者さんにご迷惑をかけず、外傷の患者さんの治療はできました。
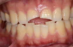
歯の外傷でもっとも多いのは歯冠の破折です。大きな破折では、神経が折れたところから露出してしまいます。歯冠が破折して、神経が露出した場合、すぐに神経をとって被せず、露出した神経は、そのまま薬をおいて、また上の部分を少しだけ取って残りの部分を残したりします。そして折れた歯冠を探して持ってきていただいて適切に接着させます。まずこのような処置をして経過をみるのがよいでしょう。
![]() |
前歯2本が大きく折れてしまってます。 |
![]() |
神経も大きく露出しています。 |
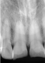
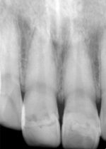
![]() |
治療前のX線写真 |
![]() |
もってきた折れた歯冠の戻り具合(位置、方向)をまず確認します。 |
![]() |
神経の露出した処置を行います。上の部分を少しだけ取って残りの部分を残します。部分的な断髄といいます。根の治療(歯内療法)をするときは必ずラバーダム防湿(緑の膜)をおこないます。感染防止のためラバーダムをしない根の治療はありえません。一番の成功のポイントです。 |
![]() |
神経を処置した上に薬でカバーします。 |
![]() |
折れた歯のほうも適切な処置をします。 |
![]() |
特別な専門の装置で折れた歯冠を本来の正確な位置にもどします。 |
![]() |
光硬化型コンポジットレジンで接着させます。 |
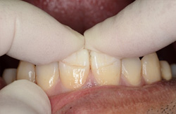
![]() |
治療後の写真 |
![]() |
治療後のX線写真。歯の神経は生きてます。 |
この後注意深く経過観察していかないといけません。
「歯のけが」で「虫歯」でもない「歯周病」でもないのに健康な歯を突然失ってしまうことがあります。
しかし適切な手当をすれば、みちがえるように治ることがあります。










