歯のコンプレックス1
みなさん、こんにちは院長の江俣です。
久々の更新です。2月にプレゼンテーション(症例発表)を行うことになっていましてその準備で更新がなかなか出来ないままでしたが・・・が、やっとおちつきましたので、当院でおこなっている歯科治療のお話を連続でアップしていきます。
昨日ラミネートベニヤ治療をおこなった患者さんがメンテナンスで来院しました。
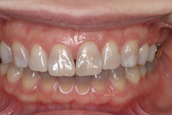
患者さんは歯の変色で長年のコンプレックスとなっていました。歯の変色は薬剤による変色と思われますが、原因不明のことも多いです。
![]() |
テトラサイクリン薬剤による変色とおもわれます。 |
このケースでは患者さんの満足度を求めるならば、ホワイトニングでは不可能です。ラミネートベニヤが適応です。しかし色調を変えるラミネートベニヤは、接着に使用する素材の色が表面の色に反映します。色調への影響を事前にシミュレーションしたうえで、数十色用意してある接着性レジンセメントの中から最適なものを選定し、使用していきます。
まずはホワイトニングから
なぜホワイトニングをするかというと、透明度の高いオールセラミックが審美修復材料の主役となってから、歯のもつ色がどれだけ審美的結果に大きな影響を与えるか痛感してきましたので。
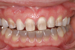
![]() |
歯の色調は、ホワイトニングによって変化したとはいえ、患者さんは気になります。 |
![]() |
慎重に形成(削る)しました。 |
![]() |
繊細に作りあげたラミネートベニヤ。少し厚いコンタクトレンズの様なものです。 |
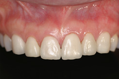
![]() |
治療後 |
マスキングしたため透明感に欠けますが、患者様は、ずっとコンプレックスだった歯が白くなったことで「笑顔に自信が持てるようになりました」と大変喜んでいます。




