インプラント周囲炎4 -歯肉の移植-
みなさん、こんにちは院長の江俣です。
6月9日は花の日でした。(第2日曜日)
今年も近所の幼稚園の園児達から、感謝の言葉と花束が届きました。
園児達が、花のように美しい心で、健やかに育つことを願っています。
![]() |
では歯科のお話しにしましょう。
前回に続きインプラント周囲炎のお話しを続けますね。
インプラント周囲炎にしないためにはよくプラークコントロールすることですが、どんなにブラッシングを頑張ってもインプラントの被せたものの形態が悪かったり、周囲の歯肉がくぼんでいたり、角化歯肉(コラーゲン繊維に富んだ固く動かない歯肉)がない場合、歯磨きが困難になることが多いため炎症が起こりやすくなります。そのためにインプラントの部位に歯肉の移植を施すことにより、適切なお掃除ができます。
よってインプラント手術には、専門的な歯周外科を併用する必要が多いのです。
インプラント周囲の歯肉の移植には以下の手術方法があります。
■遊離歯肉移植術(FGG)
遊離歯肉移植術とは、上顎から歯肉を切り取り、歯根やインプラントの周りに移植することにより、角化歯肉を得る方法です。
■結合組織移植術(CTG)
インプラントが埋め入れらている部位の歯肉に厚みがない場合、上顎から結合組織のみを切り取り、歯肉が痩せてしまっている部分に移植します。
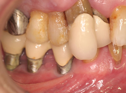
先日来院した患者さんはインプラントのまわりに角化歯肉がない状態のためプラークコントロールができずインプラント周囲炎をおこしていました。歯肉が痩せて薄くなってますす。
![]() |
![]() |
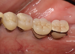
先日インプラント治療が終わった患者さんはインプラント手術時、遊離歯肉移植術(FGG)を併用しました。
![]() |
遊離歯肉移植術(FGG) |
![]() |
![]() |
インプラントの被せ物の周囲に角化歯肉もあり、お掃除しやすい形態になっています。治療後もメインテンスしやすいでしょう。
![]() |






