前歯の隙間が気になります
みなさんこんにちは院長の江俣です。
先月買ったままの長編小説「永遠のゼロ」を夏季休暇に読みきりました。終戦記念日もかさなり、たくさんのことを考えさせられました。
![]() |
|
では歯科のお話にしましょう。
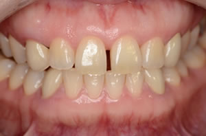
37歳女性
主訴 前歯の隙間が気になりコンプレックスです。
| 治療前 | |
![]() |
|
|
治療方法として(1)矯正治療 (2)コンポジットレジン法 (3)ラミネートベニヤ法の長所・欠点をお話しラミネートベニヤ治療を選択されました。 |
|
![]() |
|
|
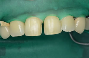
シリコンインデックスをもちいて慎重に切削します。 |
|
![]() |
|
|
ポーセレンラミネートベニヤ |
|
![]() |
|
|
ラミネートベニヤでもコンポジットレジンでも接着修復ですので治療にはラバーダムは必須です。 |
|
![]() |
|
|
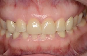
治療後 |
|





