「抜歯かな?」と思っても
みなさん、こんにちは院長の江俣です。
秋の気配が濃くなって夏が終わると思っていたのですが、先週はまた猛暑日になりましたね。
では歯科のお話にしましょう。
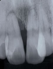
| 初診時 | 治療後 |
![]() |
![]() |
初診時、歯根の先まで歯槽骨吸収が認められ、排膿や出血があり、グラグラした歯でしたが、ケースによっては通常の治療で上記のような回復を確認出来る事があります。
特別な再生療法外科処置をしたわけではなく、原因の除去(歯垢・歯石除去)、根の治療、かみ合わせの調整など通常の歯周治療を実施した結果です。このように初診時の時には「保存は苦しいかな?抜歯かな?」と思っていても、歯周病治療に非常によく反応する場合もありますので、当医院では重度歯周病で保存が苦しそうな歯でもまず保存治療を試みるようにしています。その後、再評価(歯周病治療の反応を確認するステップ)しその歯が保存出来るか否か最終決定致し患者様に御相談しています

